Rehabilitation Pictures
The practice of Natural Hoof Care has
taught us how to easily heal problems that once perplexed the horse
world and sent countless horses to their death. The cure or relief
from chronic
laminitis (founder), navicular syndrome, and white line disease are
becoming routine all over the world. Veterinary researchers
everywhere are doing research in this direction and exciting new
findings are constantly being reported.
|
 |
|
 |
|
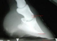
Miserably
lame Quarter Horse. P3 is penetrating the sole, with extensive sub-solar
abscessing. |
|
At 6
months, still room for improvement, but completely sound. |
|
We eliminated the sweet feed,
switched the horse to a mixed grass hay diet, but turnout on rich grass,
with a grazing muzzle was permitted. Although the horse is now
completely comfortable, a bit of separation persists, indicating the
diet is still not quite strict enough. "You can't just trim your way out
of a founder."
After these radiographs were
taken, he was moved to a new home with no grass and lots of work to do.
He is now living in a heard, happily giving riding lessons and
comfortably working as a trail horse. I will do another set of
radiographs in 6 more months and expect this improved environment to
forge a perfect hoof.
|
|
 |
|
 |
|
Aside
from the rotation, notice the calcification of the lateral cartilages
and osteophytes at the joints. |
|
6 months
later, the attending vet was quick to point out that the "derotation"
and the soundness of this horse were not nearly as important as the
speed at which the body is absorbing the calcifications. |
|
Immobile at start, pasture
sound in about one month; 6 months later, he's being comfortably ridden
daily on all terrain. It is very important to note how much larger the
"impact zone" behind P3 has become. Sound, heel-first impact is
developing the lateral cartilages.
I still hope for the coronet to migrate further
down P3 and am curious about whether the calcifications will continue to
disappear, so again, I'll post updated radiographs in 6 more months.
|
|
 |
|
 |
|
Opened
fungal infection at setup trim at toes and quarters |
|
pre-trim
5 months later with perfect white lines and much higher P3 position |
|
Note how much deeper the apex
of the frog becomes in the solar dome and the natural concavity of the
back of the foot. I did not cut this concavity, I let it build!
|
|
 |
|
 |
|
Set-up trim.
Serious lateral imbalance and heel
contraction |
|
7 months
later, with no discomfort along the way |
|
Again,
this horse has been free of pain throughout
this transition, and that's the key. If you
make the back of the foot sore, the horse
will land on its toes and the hoof will
never uncontract.
|
|
 |
|
 |
|
Forget the toes,
imagine what it feels like to have your heels in the
center of your foot. P3 is at ground level at start. |
|
10 weeks and
comfortable throughout "transition" without touching
the sole under P3, which was already too thin |
|
This is a "runaway hoof" at its worse. The list of
future problems you can prevent with a little
natural care is long and frightening! This is the
main thing I want to get across to farriers. Even if
you refuse to give up your shoes, can't you see the
benefit of learning to do THIS during a 2-3 month
"barefoot period"? (Below- six more
months)

|
|
 |
|
 |
|
July '05
The depth of the collateral groove around the frog is your
most accurate guide to sole thickness. When it is the lowest
thing on the bottom of the foot, you know the sole is paper
thin under the coffin bone. |
|
December '05
Less than five months of work and stimulation have built
this sole up into proper, callused thickness. The collateral
grooves is now nicely recessed into a bowl of natural solar
concavity. I stress again: not by cutting, but by building
sole thickness! |
|
"Typical" hopelessly flat footed "off the track"
Thoroughbred. I guess the most common argument I hear is,
"Natural hoof care is just great if your horse has good
hooves....... But the feet have been bred out of my horse."
If you have ever uttered those words, your horse needs a
little bit of barefoot, boots and pads more than anyone! |
|
 |
|
 |
|
Dec '05 |
|
Sept '07 |
|
Appaloosa navicular horse. Trail ridden barefoot.
Comfortable on all terrain.
|
|
 |
|
 |
|
Oct '06 |
|
May '07 |
|
Thoroughbred laminitis case with fungal complications in an
exaggerated crena. |
|
 |
|
 |
|
March '07 |
|
Oct '07 |
|
20+ degree rotation, almost an inch of distal descent. Today
she is very comfortable and happy. Each trim and "before and
after trim" movement shown in our DVD series Under the
Horse |
|
 |
|
 |
|
Feb '07 |
|
Sept '07 |
|
Front left of Arab in next column. Nine months; not too
shabby.... This is fun! |
|
 |
|
 |
|
May 'o5 |
|
April '06 |
|
Quarter Horse gelding. History of laminitis, WLD, wall
cracks, thin soles and wouldn't hold a shoe. The owner, an
equine vet, had no choice but to try another alternative.
Today he is very sound and has beautiful feet. |
|
 |
|
 |
|
April '07 |
|
Sept '07 |
|
Same QH as adjacent frame.
|
|
..........
|
 |
 |
| Immobile at start |
8 months |
| Down and out from chronic laminitis; sound after first trim
and diet restrictions; The dietary changes actually did more
for this insulin resistant horse than my trimming, if you
want to know the truth. She was comfortable within a week
after we took the sugars out of her diet, and I still had a
lot of hoof yet to grow. |
 |
 |
|
Long history of lameness. "Ski-tipped" P3. Half of P2 is
buried in the hoof capsule.
|
Same foot; sound and working for a living. P3 is now a
natural height off the ground and in a natural position in
the hoof capsule.
|
|
Most professionals realize P3 can drop into a low position
in the hoof capsule. Few realize this can be reversed.
Nothing is dreaded or feared quite like "the sinker," but it
doesn't have to be a death sentence.
Allowing heavy callus to build on the bottom of the foot,
keeping the walls from growing into a "lifting position,"
and heel-first landings are the keys to success. |
 |
 |
| Years of constant abscessing |
6 months without an abscess |
| This horse came in through a local vet because she would no
longer hold a shoe. One good trim stopped the pattern of
abscessing in its tracks. |
|
|
|
 |
|
 |
|
Free "incurably lame" horse for a local girls camp |
|
This photo is actually 12 months later, but this
horse has been comfortably trail riding and giving
lessons for over 9 months |
|
This one
had it all: Founder, navicular problems, WLD,
undeveloped digital cushions, chronic
thrush............ My hats off to these folks. They
are "hoof fixing machines" with a herd living in a
mountainous, grass-free paddock, plenty of work for
the horses to do and "no heart" when it comes to
sweet treats. A customer like this really makes me
look like I know what I'm doing!
|
|
|
|
|
|
 |
|
 |
|
Actually 6 weeks after
I pulled the shoes, pre-trim |
|
6 months later. H*** yea, it's the same foot! |
|
At no
time did I "open" this foot. At no time was he
uncomfortable. I will admit that I suggested that
the owner put gutters on the barn to dry up the area
where the horses like to hang out. She did so right
away, and all the gravel she put in the wet area
around the barn was her idea!
|
|
 |
|
 |
|
These are
tough radiographs to see, but this is a beautiful case, so I put them
up, anyway. the attending vet diagnosed a 14 degree rotation and full
sole penetration of P3. |
|
I just
now had the follow-up radiographs taken, after four years of total
comfort. This horse is very comfortably ridden 3-4 times a week, and is
as happy as a horse can get. |
|
Another grazing muzzle, a few
less trips to the feed store, routine natural hoof care and another
wonderful horse snatched from the edge of the grave!!! This is really
fun!
|
|
|
 |
|
 |
| Very lame
before and comfortable after setup trim. P3 is almost
exposed and is lower than any part of the hoof wall. |
|
6 months later
with excellent hooves and gloriously sound. P3 has moved up
into a natural position in the hoof capsule;
shortening the hoof, while building necessary sole. |
| This horse is
a very nice school horse that had a fortune spent on it
trying to restore some soundness. The previous owner tried
everything. Finally she gave it to one of my customers who
drove 600 miles to pick it up. She is now developing a
"school" around this little painted beauty - giving lessons. |
|
 |
|
 |
|
May '04
14 degree rotation, P3 penetrating the soles on both front
feet. |
|
Dec '05
It can be done! I don't mean survive, I mean perform!!! |
|
This owner stood
up to countless people telling her this horse couldn't be
helped. Horse and rider have dominated in competition this
year. The "after" picture was taken on the day this horse
was awarded the Speed Event Championship Buckle for the year
in our local saddle club. |
|
 |
|
 |
|
September 03' |
|
June 04' |
|
Lame donkey with disfigured hooves; normal hooves a few
months later; this was as close as we could get. The owner
actually said," We'll be able to catch him easier when he
goes lame again." AAARRRRRGGGHHHH |
|
|