How to Reverse Coffin Bone Sinking (part 2 of 2)
Horseback Magazine
9-10-13
Pete Ramey
Last month, I covered some of the warning signs and
problems associated with coffin bone sinking (often called
distal descent or
sinker). This month, I will go deeper
into the work involved in reversing the problem.
This is serious business, and needs to
be done by an experienced trimmer or farrier, and under the supervision and care
of your veterinarian. But here are the basics:
Trimming the Hoof
to Reverse Sinking
As detailed last month, your farrier (or you) may realize
your horse has a coffin bone position that is too deep in the hoof capsule
because the heels and/or toes are longer-than-normal, in spite the fact that the
sole is NOT excessively thick—these feet cannot simply be shortened to an
optimal length without excessively thinning the sole. Your veterinarian may also
diagnose this condition by using a lateral radiograph to compare the “height of”
the top of the coffin bone to the “height of” the top of the hoof capsule
(coronet-to-extensor process or CE
measurement, see Figure 1).

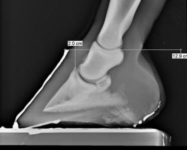
At
first glance, this hoof may appear healthy—no rotation or flaring, and an
adequately thick sole. But a timely visit from the veterinarian revealed a good
reason for low performance and general unsoundness. The CE measurement is 2
centimeters (about 7/8th inch)—a quite severe case. This problem is
often overlooked until it is too late. Photo reprinted from the book Care and
Rehabilitation of the Equine Foot.
Either way, steps should be taken to reverse the condition.
A combination of hoof trimming, specific protective devices, and strategic
terrain selection can be used to set up forces where the sole, frog and bars are
bearing more of the weight—the hoof walls are then bearing less of the weight.
Generally speaking, preserve sole material, avoiding even “routine”
clean-up of exfoliating material. Leave the hoof walls 1/8th-inch
longer than the sole, but bevel them sharply—usually at about a 60 degree
angle—as shown in figure1. On yielding terrain (or on a foam insole in a hoof
boot) this sets up the opposite of the forces that probably got the hoof in this
condition to begin with, namely
peripheral loading (allowing the hoof walls to bear all of the horse’s
weight for an extended time). Repeat trims often enough to keep the hoof walls
out of a primary weight-bearing situation so that they can settle into a more
natural position (relative to the coffin bone) over time.

This is
a typical trim I use to reverse (and prevent) coffin bone sinking. All or most
of the frog and sole are preserved, while the hoof wall is sharply beveled.
Generally it is important (for soundness) to leave 1/8th inch of wall
height extending past the sole. On yielding terrain, this allows the sole to
bear some of the horse’s weight, thus allowing the hoof walls to settle into a
more natural position over time. Photo reprinted from the book Care and
Rehabilitation of the Equine Foot.
But extra caution must be taken! The soles are certainly
designed to bear weight, but not ALL of the weight—in a healthy situation, the
hoof walls are supposed to be sharing this load. Also, the sole’s corium is
designed for pressure and release, not constant pressure. Any pressure applied
to the sole must release completely when the hoof is in flight! So during this
time of rehabilitation, be sure to provide extra protection for the horse’s sole
while avoiding any type of hoof protection that is rigidly attached to the hoof
wall. Also avoid any protective device that applies constant pressure to the
sole, and/or lifts the sole out of a
weight-bearing role. If the sole is well-callused and at least ½-inch thick, the
horse can usually be safely turned out barefoot on yielding terrain and these
criteria will be met. However, if the sole is thin, if the terrain is hard or
rocky, or if the horse is tender-footed, you need to provide hoof boots with
½-inch-thick foam rubber insoles during turnout. If booting for turnout, clean
the hooves and boots daily, allowing the hooves a chance to dry out for a few
hours while the horse is barefoot and confined to soft footing. This may seem
like a lot of trouble, but worth it, since we are talking about a very serious
condition previously thought to be impossible to reverse.
Riding can almost always be continued during this
process—use quality riding boots, and discontinue riding if the horse shows any
lameness or hesitation. If the horse is comfortable, and the hooves are trimmed
properly and well-protected, the extra exercise tends to speed healing.
Laminitis
Sinking coffin bones are often, but not always, a direct
result of past or present laminitis. If the horse’s diet has contributed to the
problem, you cannot expect an improvement without also improving the diet.
Discuss your horse’s individual diet and body condition with your vet. Sugar
reduction and general nutritional balancing is often necessary in these cases,
and medication may be indicated as well. This was the case with the horse
pictured in Figures 3 and 4: dramatic changes to the diet (sugar reduction and
mineral balancing) and PPID medication were prescribed.

Insert Figures
3&4 (7ramey3 and 7ramey4) side-by-side, sharing one caption:
In
Figure 3, aside from some hoof capsule rotation, this horse had quite severe
coffin bone sinking. The heels and toes were too long and could not be
significantly shortened because of a paper-thin sole. Using the methods
described here, 5 months later, Figure 4 shows the same foot with a thick sole
and a much-shorter hoof capsule—the CE measurement has become normal—the sinking
reversed. Photos reprinted from the book Care and Rehabilitation of the
Equine Foot.

How Consistent Are
the Results?
There seems to be a “point of no return” or at least “much
greater difficulty” when the CE measurements are at or beyond ¾-inch. For many
years I had noticed this, and assumed that it was because more ripping and
tearing had been done to the coronary papillae when the CE surpassed ¾-inch
(instead of simply bending and distorting). This is not to say that larger CEs
cannot be reversed, but that it is less likely, and will be a harder, longer
road—for one thing, abscessing is very common in these cases, and that alone can
make a horse want to give up.
When Debra Taylor DVM, DACVIM (Auburn School of Veterinary
Medicine) and I first started working together we compared notes on this type of
case. Using venograms (see Figure 5), she had been noting a dramatic decrease in
circulation into the hoof capsule in cases that had more than ¾-inch CE, and
normal circulation in most horses with CEs less than ¾-inch. The two stories fit
together well—what I had seen in the field made sense.
Another factor that seems to affect reversal results is the
speed that the sinking occurred. The long, slow, gradual sinkers seem easier to
fix than the sudden and severe founder cases. This, again, is probably due to
bending and stretching of connective tissue vs. ripping it apart. As you might
guess, the latter type also causes significantly more pain, which can affect the
outcome as well.
As with most problems, an ounce of prevention is worth a
pound of cure. This why older farrier texts say to pull shoes during the
off-season to “drive up the quick.” They were reversing a season’s-worth of
sinking without even fully realizing it. This is why I personally prefer hoof
boots instead of perimeter-fit shoes—I like to load the whole foot to prevent
this problem. This is also why pour-in pads (and other sole-support methods) are
getting more popular among top farriers in most disciplines. Even the dirt
packed in a shoe or bare foot can help support the horse’s weight and give the
laminae a rest. And hopefully, of course, just being aware of the problem will
help—so that you can see it coming
and take preventative steps before it is too late.